Creatine 101: Supplementation and its Downsides
A Clarification to Joe Rogan and Elon Musk
In his recent interview with Elon Musk, when discussing the cognitive benefits of creatine supplementation and in response to Elon’s question about the downsides of the supplements, Joe Rogan said “None!” Then he mentioned creatine is naturally occurring in meat. As I have explained in my recent book (The Right Way to Eat), I am not for or against any particular diets because each person’s metabolism is different. But because I respect both of these fellows, here I want to share, in simple scientific terms, some potential downsides of excess creatine supplementation. You can find more insight about food and metabolism in my books (see References at the end).
Our body constantly converts energy in food to rechargeable and renewable energy storage packets (called ATP, Adenosine triphosphate, with 3 detachable phosphate groups, which release energy upon detachment) that are exchanged as our energy currency with all body organs. In times of strenuous activity by our muscles (heart and limbs), and neurons (in our brain and our peripheral nervous system), when our body uses up this currency and convert it to its lesser value lower-energy form (called ADP, with two phosphate groups attached), we need quick ways to replenish the depleting levels of ATP while waiting for our body to metabolize more fat or sugar into ATP.
Our body relies on a molecule called Creatine phosphate that in times of urgent need can easily donate its phosphate group to ADP to recharge it back to ATP. Creatine is synthesized in our body from three amino acids which are abundant in meat (glycine, methionine, and arginine). Vegetarians tend to have lower amounts of creatine in their muscles.
Like all metabolic feedback loops in the human body, creatine, creatine phosphate and the broken down form of creatine called creatinine, are in dynamic equilibrium. Creatinine enters the bloodstream as a metabolic waste product and is filtered by the kidneys and excreted through urine. In fact, an elevated level of creatinine in the blood (serum) is an important biomarker used in the clinical diagnosis of renal malfunction, acute kidney injury (AKI), or chronic kidney disease (CKD) because inadequate creatinine clearance means the kidney is overloaded and not doing its job.
Our body’s overall metabolism will determine how much creatine phosphate it makes or breaks down. That is why the intensity of energy consumption (as in strenuous exercise), and metabolic hormones like insulin and adrenaline, as well as our diet, can impact the dynamic of creatine metabolism. It is hard to fool the body. That is why research shows supplementation with typical doses of creatine reduces short-term production of creatine by the body. While supplementation may increase the creatine storage in the muscles, it is also shown to increase “creatinine” levels in the blood, and the stress levels on our kidneys to clear the waste product. So as with all other body functions discussed in my books, every biohack benefit comes at a cost. So with the supplementation, we load additional creatine into the muscles to push them temporarily1 into an overdrive, while overloading our kidneys that need to clear the waste products. Additionally, if we consume a lot of meat and animal products along with the creatine supplementation, our body, and particularly our liver, will be metabolically stressed trying to figure out what to do with the additional amino acids. Some will be used (in the liver) to make more proteins, others may form ketone bodies that can burn but could also lead to acidosis (in extreme cases), and others may be broken down and excreted by the kidneys as urea. Our body will also make more ammonia, so our B.O. and sweat would smell stronger!
Potential Benefits of Creatine Supplements
There is evidence that short term memory, intelligence/reasoning and certain aspects of cognitive and psychomotor functions may be improved by creatine administration in older individuals following sleep deprivation. Regarding other cognitive domains, such as long-term memory, spatial memory, memory scanning, attention, executive function, response inhibition, word fluency, reaction time and mental fatigue, the results are conflicting. Performance on cognitive tasks stayed unchanged in young individuals not sleep-deprived. Vegetarians responded better than meat-eaters in memory tasks but for other cognitive domains no differences were observed.
Water and muscle hypertrophy (volume gain): In young, healthy males undergoing resistance training, Creatine is thought to directly increase cellular swelling via intracellular water storage, and indirectly enhance muscle fiber size and lean body mass by increasing levels of insulin-like growth factor 1 (IGF-1). Exercise performance in the elderly, however, does not increase with Creatine supplementation.
As indicated in the last section, when supplemented with exogenous creatine, intramuscular and cerebral stores of creatine and its phosphorylated form, phosphocreatine, become elevated. The increase of these stores can prevent ATP depletion and stimulate protein synthesis, and therefore, help increase muscular force and power and reduce fatigue. However, there are no free lunches in nature so as explained above and seen later, there are downsides (costs) to this biohack.
Phosphocreatine is used as a cardio-protective agent during heart surgery or after episodes of myocardial infarction and tissue injury. This augments the creatine kinase (CK) energy shuttle, which constitutes the primary short-term energy buffer and transport system in the cardiomyocyte.
Potential Problems and Adverse Reactions to Creatine Supplements
It has been hypothesized that creatine supplementation could be cytotoxic (Yu and Deng, 2000) because excess creatine can be converted to formaldehyde and hydrogen peroxide, and formaldehyde has the potential to crosslink proteins and DNA leading to cytotoxicity. Yu and Deng did find an increase in urine formaldehyde after creatine administration. Poortmans et al. (2005) also found methylamine and formaldehyde in the urine samples of creatine supplement takers.
Creatine supplementation increases total body water by binding water inside the muscle cell, also making water unavailable for sweating which plays a major role in thermal management and detoxification of the body. Creatine supplementation has also been associated with increased muscle dysfunction (i.e. cramps, muscle strains, etc.). Also, reports of gastrointestinal distress and diarrhea have been associated with creatine ingestion. This could result from the ability of creatine to draw water into the intestine in a similar manner to how creatine draws water into the muscle.
In a case study, (Koshy et al., 1999) a 20-year old male with nausea, vomiting and bilateral flank pain was consuming 20g/day creatine (5 g four times a day) for four weeks prior to hospital admittance. His serum creatinine was 1.4 mg/dL and urine analysis was positive for protein and red blood cells. Renal biopsy revealed acute focal interstitial nephritis and focal tubular injury.
Another case of renal (kidney) dysfunction during creatine ingestion has been reported by Pritchard and Kalra (1998). The case study involved a 25-year old male on medication for nephrotic (kidney) syndrome. The patient had a history of normal renal function but the patient’s creatinine clearance started to decline over time. The patient admitted to taking 15 g/day creatine (5 g three times a day) for 1 week followed by 2 g/d maintenance therapy. One month after stopping the creatine supplement, creatinine clearance returned to normal. A later study found that his medication does impact the kinetics of creatine transport, and the interaction of cyclosporine with creatine might explain the renal dysfunction.
There is one case study related to creatine ingestion and cardiac dysfunction. A 30 year-old vegetarian male developed diarrhea and cramps after one month of creatine supplementation, and subsequently changed to a different creatine supplement and developed palpitations and dyspnea (Kammer, 2005). The patient underwent chemical conversion and cardiac catheterization to correct the arrhythmia.
In another case study by Revai et al. (2003) the patient was taking an anabolic-androgenic steroid and a very high dose (200 grams) of creatine per day and subsequently developed renal dysfunction.
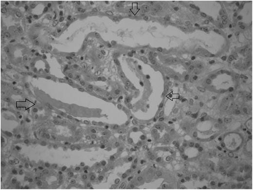
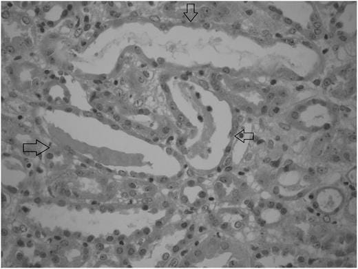
But dysfunctions can happen even at low doses of supplementation. In a 2011 case study, Taner et al. reported a healthy 18-year-old man who presented with a 2-day history of nausea, vomiting and stomach ache while taking creatine monohydrate for bodybuilding purposes. The patient had acute renal failure, and a renal biopsy was performed to determine the cause of increased creatinine and proteinuria. The biopsy (shown above) showed acute tubular necrosis. In the literature, creatine monohydrate supplementation and acute tubular necrosis coexistence had not been reported previously. Twenty-five days after stopping the creatine supplements, the patient recovered fully. The authors conclude “Even recommended doses of creatine monohydrate supplementation may cause kidney damage; therefore, anybody using this supplement should be warned about this possible side effect, and their renal functions should be monitored regularly.”
The Supplement Safety
Creatine monohydrate supplements are usually synthesized by heating and reacting sodium sarcosinate and cyanamide. There are no extensive data on toxicity of sodium sarcosinate but cyanamide is categorized as a toxic substance and suspected carcinogenic, which can also cause infertility and cardiovascular collapse.
Unfortunately, in the United States, creatine is not regulated for its processing and impurities, so as with other dietary supplements, there is some concern that contaminants may lead to adverse effects with creatine use. Benzi (2000) theorized that because creatine is produced from the reaction of sarcosine and cyanamide, several possible contaminants such as creatinine, dicyandiamide, dihydrotriazines, and ions such as arsenic could be produced. Although many creatine manufacturers provide a certificate of analysis with their products that addresses the issue of impurities, these findings have not been confirmed in many independent analyses.
My Two Cents
If a young athlete, especially a vegetarian, has to temporarily push his/her body beyond its natural limit of exhaustion, or if one is undergoing heart surgery or recovering from a heart attack that has caused myocardial tissue injury (to the heart), the benefits of temporary creatine supplementation may outweigh its risks if the person has healthy kidneys and liver. For older folks who must temporarily maintain or improve their vigilance, memory sharpness and mental acuity when sleep-deprived or mentally exhausted, low doses of creatine supplementation may be beneficial if the person has healthy kidneys and liver. In the latter case, coffee may induce a similar effect. In all other cases, creatine supplementation as Taner et, al indicated: “Even recommended doses of creatine monohydrate supplementation may cause kidney damage; therefore, anybody using this supplement should be warned about this possible side effect, and their renal functions should be monitored regularly.”
As I explained in The Right Way to Eat, “magnesium” is the “regulator par excellence of metabolism,” largely through its role as a cofactor (and often a bottleneck) for ATP and phosphoryl transfers inside our cells, and especially if we speed up our metabolism with meat, coffee, etc. Magnesium is mostly found in the Chlorophyll in green leaves of plants and vegetables. In fact, there is a striking resemblance between structures of hemoglobin in red blood cells delivering oxygen and energy to living cells, and Chlorophyll in green leaves, generating and delivering oxygen and energy to plants.
Sources:
The Right Way to Eat: A Handbook About Wholesome Food, by Ray Armat, Ph.D., 2024
The Rogue Brain: Understanding the Unruly Mind Behind Our Bad Habits, Anxieties, Diseases and Blind Spots, by Ray Armat, Ph.D., 2024
https://academic.oup.com/ckj/article/4/1/23/376016
https://www.sciencedirect.com/science/article/abs/pii/S0531556518300263
https://www.researchgate.net/profile/Eric-Rawson-4/publication/5275398_Creatine_supplementation_does_not_improve_cognitive_function_in_young_adults/links/62ed377e88b83e7320ae45f3/Creatine-supplementation-does-not-improve-cognitive-function-in-young-adults.pdf
https://www.researchgate.net/profile/Iman-Karimzadeh/publication/328718857_Potential_Adverse_Effects_of_Creatine_Supplement_on_the_Kidney_in_Athletes_and_Bodybuilders/links/5bdd7945299bf1124fb6f15e/Potential-Adverse-Effects-of-Creatine-Supplement-on-the-Kidney-in-Athletes-and-Bodybuilders.pdf
https://www.researchgate.net/publication/370795631_Electrochemical_Creatinine_BioSensors_for_Point-of-Care_Diagnosis_of_Renal_Malfunction_and_Chronic_Kidney_Disorders
https://www.researchgate.net/publication/11980984_Clinical_Pharmacology_of_the_Dietary_Supplement_Creatine_Monohydrate
https://www.researchgate.net/publication/51425551_Safety_of_Creatine_Supplementation
The body then switches to either anerobic glycolysis of glycogen storage (as in fast twitch muscle fibers) to lactic acid during high intensity training or to beta oxidation (aerobic, oxidative phosphorylation) of fat storage during endurance training (of slow twitch muscle fibers).






Thank you for the article. As a 50 year old woman I have been hearing a lot of positives about creatine for post menopausal health., no downsides were ever presented. I used to be a big believer in vitamins and supplements, but the more I learn the more I realize that natural is usually better.